
At Narang Netralaya, our Vitreoretinal Department is dedicated to delivering cutting-edge care for disorders affecting the retina and vitreous. With world-class diagnostic tools, advanced laser systems, and state-of-the-art surgical technology, we provide comprehensive management of both common and complex retinal diseases.
Our retina unit is led by a skilled vitreoretinal surgeon, Dr Madhushmita, offering personalized, evidence-based treatment with a strong focus on patient comfort, safety, and visual outcomes.
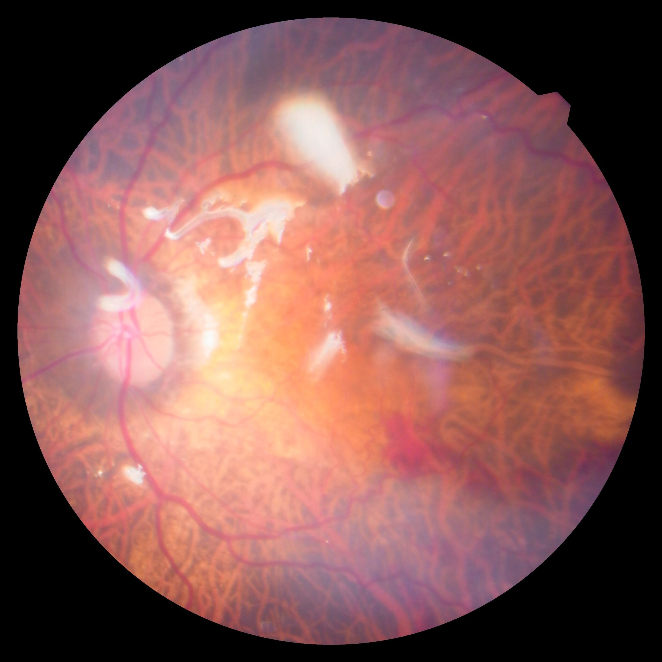
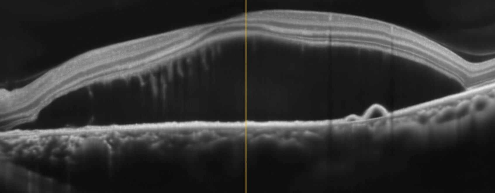
Accurate diagnosis is the foundation of successful retinal care. Our centre is equipped with the latest imaging modalities to detect and monitor retinal diseases with unparalleled precision.

Autofluorescence Imaging
Colour Fundus Photography

Together, these imaging systems allow us to detect diseases early, plan accurate treatment, and track response to therapy effectively.

Our centre features the Zeiss Multispot Green Laser (PASCAL) – one of the most advanced retinal laser platforms available today.
Benefits of PASCAL Multispot Laser
We provide safe, sterile, and protocol-driven administration of all major intravitreal injections, including anti-VEGF agents and intravitreal steroids.
Our vitreoretinal surgery department is equipped to handle both routine and complex cases with precision and safety.
Constellation® Vision System



Zeiss Lumera I Microscope with Resight Systemem
We offer complete management of:
We understand that retinal diseases can be visually and emotionally challenging. Our team is committed to:
The retina is a thin, light-sensitive layer at the back of the eye. It works like a camera film, capturing images and sending them to the brain. Any damage to the retina can result in blurred vision or even permanent vision loss if not treated in time.
Sudden floaters, flashes, blurred vision, or a dark curtain in your sight.
OCT scan, Retinal Photography, FFA, and B-Scan.
Diabetic Retinopathy, Retinal Detachment, Macular Hole, ERM, Vitreous Hemorrhage.
Most retinal diseases are treatable if detected early. Treatment options include laser therapy, intravitreal injections, vitrectomy surgeries, medications, and sometimes observation depending on the condition.
Yes. It needs immediate treatment to save vision.
A minimally invasive surgery to treat retinal diseases by removing the vitreous gel.
No. It is done under local or general anesthesia.
Most patients recover in 4–6 weeks, depending on the condition. It may take 6-1 year to know the final visual outcome
Yes. Diabetes can silently damage the retina. Yearly eye check-ups are essential.
Anti-VEGF injections are medicines injected inside the eye to reduce swelling and abnormal blood vessel growth. They are commonly used in diabetic macular edema, ARMD, vein occlusion, and many other retinal conditions.
Retinal laser is a painless outpatient procedure used to seal weak areas of the retina, stop abnormal vessels, or prevent further damage in diabetic retinopathy and retinal tears.
Dr. Madhushmita Narang, LVPEI-trained retina specialist with 5000+ injections & 1000+ surgeries.





WhatsApp us